Orthodontics Announcement

Welcome Dr. Ilan to Peninsula Dentistry

Our new in-house orthodontist starts this June. Free orthodontic and Invisalign consultations are available now, with appointments beginning June 11.

(714) 374-8800
Your Huntington Beach Family Dentist

Your Neighbor Who Happens to Be a Dentist

Dr. Tran has been right here in Huntington Beach for over 20 years. From your kids' first cleanings to the smile makeover you've been thinking about - you're not just a patient here, you're family.

Cosmetic & Restorative Dentistry

The Smile You've Been Wanting

Veneers, whitening, implants — Dr. Tran will give you an honest assessment of what's possible. No pressure, just real talk about your options and what'll actually work for you.

Same-Day Emergency Appointments

In Pain? We've Got You

Broken tooth? Unbearable pain? Call Dr. Tran right now — he's been handling dental emergencies in Surf City for two decades and we'll get you in today.

Dr. Ilan, in-house orthodontist at Peninsula Dentistry in Huntington Beach
Dr. Kenneth Tran at Peninsula Dentistry in Huntington Beach
Beautiful confident smile after cosmetic dentistry at Peninsula Dentistry
Dr. Tran reviewing a patient case at Peninsula Dentistry
Our Services

What Dental Services Does Peninsula Dentistry Offer?

Peninsula Dentistry is a full-service family and cosmetic dental practice in Huntington Beach, CA. Led by Dr. Kenneth Tran, DDS, we offer comprehensive care from routine cleanings to dental implants, Invisalign, veneers, and full-mouth rehabilitation.

Dr. Tran handles it all — from your twice-a-year cleaning to complex implant cases. Most of our Huntington Beach patients have been coming here for years, and they send their families too.

Dr. Kenneth Tran, DDS — your family dentist at Peninsula Dentistry in Huntington Beach
NYU College of Dentistry
DDS, Class of '01
Meet Your Dentist

Who Is Dr. Kenneth Tran?

Ken grew up in Utah, earned his BS from the University of Utah, then headed to New York for dental school at NYU College of Dentistry. After a VA hospital residency where he handled everything from routine cleanings to complex surgical cases, he settled in Huntington Beach — and never left.

That was over 20 years ago. He raised three daughters here. He's a foodie who loves trying every new restaurant in HB. He swims, hikes, and BBQs for friends on weekends. He keeps koi fish, a cat, and a few exotic birds at home. He's the kind of guy who genuinely enjoys meeting new people — which, as it turns out, is a pretty good trait for a dentist.

"I didn't build this practice with ads. I built it one patient, one honest conversation, one referral at a time. Most of my patients are here because a friend sent them. That's the only kind of growth I'm interested in."

More About Dr. Tran
ADA Member · CDA · OC Dental Society
Why Choose Us

Why Do Huntington Beach Families Choose Dr. Tran?

Most of our patients didn't find us on Google — they were sent here by someone they trust. We plan to keep it that way.

20+ Years in HB

Moved here right out of dental school, raised three daughters in this community. Some of his first patients still come in.

NYU-Trained, VA Residency

DDS from NYU, one of the top dental programs in the country, plus an advanced VA residency handling routine to complex cases.

Engineer's Precision

BS in Engineering from the University of Utah before dental school. Measures twice, works precisely — the same approach he'd want for his own family.

Built on Word of Mouth

Never run ads. Grew one patient, one referral, one family at a time — right here in the Peninsula Marketplace next to Ralph's.

20+

Years

5k+

Patients

4.5

Rating

Professional Affiliations

Trusted Credentials You Can Count On

Dr. Tran maintains active memberships in leading dental organizations, ensuring the highest standards of care and continuous professional development.

ADA

American Dental Association

CDA

California Dental Association

OCDS

Orange County Dental Society

NYU

NYU School of Dentistry

We Don't Run Ads. Our Patients Speak for Us.

Our practice has grown one patient, one referral, one family at a time. Here's what they have to say.

View All Reviews

“Dr. Tran and his team are just awesome. They know how to make you feel special. Highly recommend his services if you are in Huntington Beach area or Orange County.”

Bittu — Google Review

Huntington Beach, CA

“Dr Tran is absolutely amazing! He explained my dental situation so clearly and provided all possible options. He makes me feel very comfortable and at ease. The staff is also very courteous and friendly. I highly recommend Dr Tran.”

Cindy S. — Google Review

Huntington Beach, CA

“I've been going to Dr. Tran for dental work for many years. He's a wonderful dentist who is very knowledgeable, very precise and very gentle. I always feel comfortable in his care. His staff are very friendly, caring and helpful. Highly recommended!”

Phuong T. Tran — Google Review

Huntington Beach, CA

Smile Gallery

Real Patients, Real Results

See the transformative results our patients have achieved. Every smile tells a story of renewed confidence.

View Full Gallery
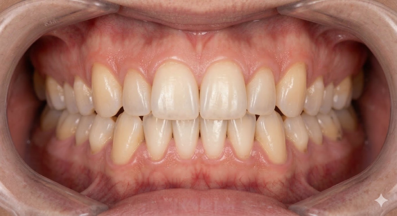
Before Porcelain Veneers
Before
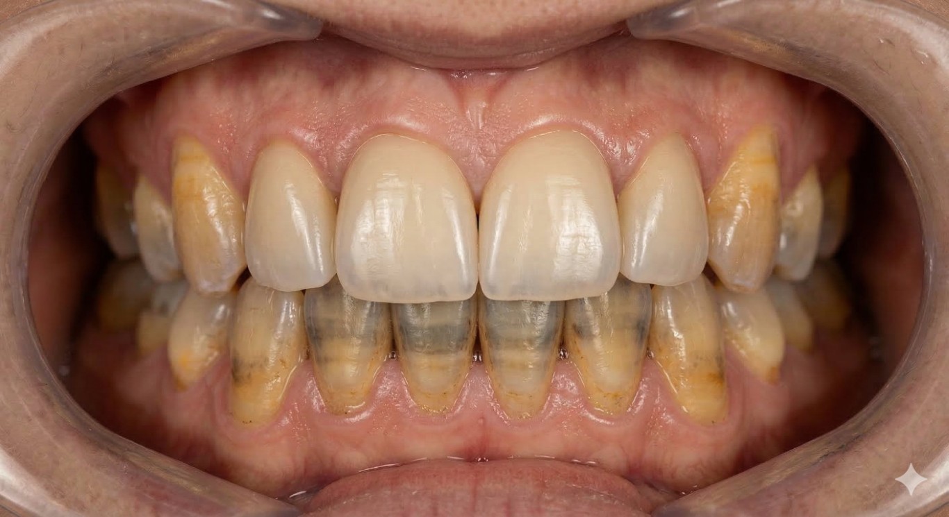
After Porcelain Veneers
After

Porcelain Veneers

Complete smile makeover with custom-crafted porcelain veneers

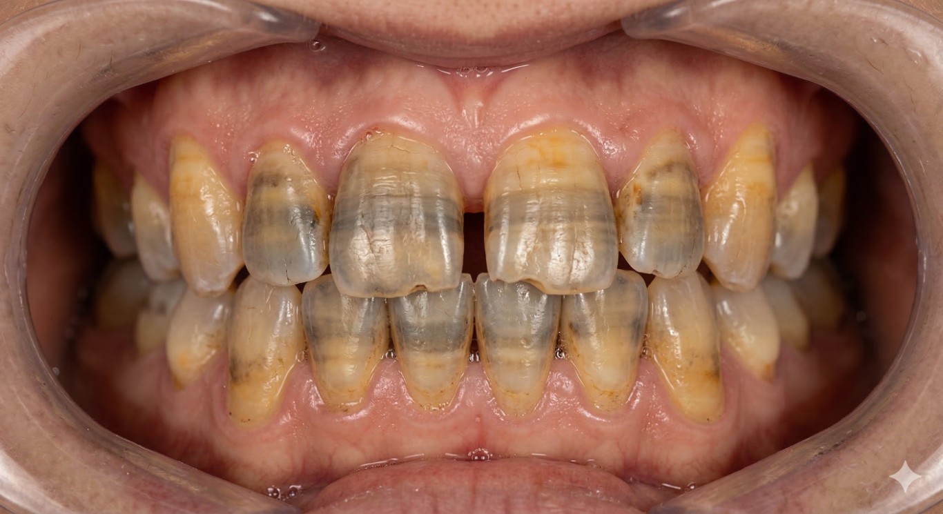
Before Teeth Whitening
Before
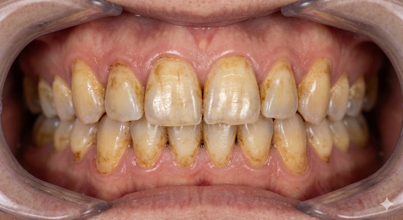
After Teeth Whitening
After

Teeth Whitening

Professional Zoom whitening — 8 shades brighter in one visit

Before Dental Implants
Before
After Dental Implants
After

Dental Implants

Single-tooth implant restoration with natural-looking crown

Before Invisalign
Before
After Invisalign
After

Invisalign

Discreet orthodontic alignment for a straighter, confident smile

Affordable Care

Nobody Should Put Off Dental Work Because of Money

Our front desk team — they've been with us for years — will walk you through your insurance, explain exactly what's covered, and make sure there are no surprises. If you don't have insurance, we'll work with you.

Most Popular

PPO Insurance Accepted

We accept most major PPO dental plans. Our Huntington Beach team handles the paperwork and verifies your benefits before you sit in the chair — so you know exactly what to expect.

Delta Dental Cigna Aetna MetLife Guardian + More

Flexible Payment

Cash, credit, debit — whatever works for you. We'll tell you the cost upfront. No hidden fees, no surprises.

Financing Available

Need to spread it out? CareCredit and Cherry let you get the dental care you need now and pay monthly. We'll help you apply right in the office.

Got Questions?

Frequently Asked Questions

Quick answers to the questions we hear most often at the front desk. If you don't see yours here, give us a call — we're happy to help.

(714) 374-8800 Frequently asked dental questions
Are you accepting new patients?
Yes. Peninsula Dentistry welcomes new patients of all ages — from your child's first dental visit to comprehensive care for adults and seniors. Call (714) 374-8800 or book online to schedule. New patient exams include a full evaluation, necessary X-rays, oral cancer screening, and a clear treatment plan with no pressure.
What dental insurance do you accept?
We accept most major PPO dental insurance plans including Delta Dental, MetLife, Cigna, Aetna, Guardian, United Healthcare, and many others. Our front desk team verifies your benefits before treatment and provides a clear out-of-pocket estimate — no billing surprises. For uninsured patients, we offer CareCredit and Cherry financing with interest-free options for qualifying patients. See our insurance and payment page for the full list.
Do you offer same-day emergency dental appointments?
Yes. Dental emergencies don't wait, and neither do we. Call (714) 374-8800 and our front desk will get you in the same day for urgent issues — broken teeth, severe pain, knocked-out teeth, abscesses, or lost fillings. Dr. Tran reserves daily slots specifically for emergencies. Visit our emergency dental page for what to do before you arrive.
Where is Peninsula Dentistry located in Huntington Beach?
Our office is at 19051 Goldenwest St, Suite 108 in the Peninsula Marketplace (next to Ralph's), near the intersection of Goldenwest and Garfield. Free parking is available. We're easy to reach from anywhere in Huntington Beach, Fountain Valley, Westminster, Seal Beach, and Costa Mesa. Get directions.
How often should I visit the dentist?
For most healthy adults, every six months is the standard — that's when most insurance plans cover cleanings and exams at 100%. Patients with gum disease, diabetes, dry mouth, or other risk factors typically benefit from every three to four months. If it's been a while since your last visit, schedule anyway — there's no judgment, and catching issues early always saves money and teeth. Our full breakdown is in the blog post How Often Should You Really Visit the Dentist?
Do you see children at Peninsula Dentistry?
Yes. Dr. Tran treats patients of all ages, including kids from their first dental visit onward. Many of our families are multigenerational — parents who grew up coming here now bring their own children. For young kids, we take a gentle, patient-paced approach. Read our post on your child's first dental visit for what to expect.
Does Dr. Tran speak any languages besides English?
Yes — Dr. Tran speaks both English and Vietnamese, and our practice welcomes Vietnamese-speaking patients from the Huntington Beach and greater Orange County communities. Many of our long-time patients from Westminster's Little Saigon area and surrounding neighborhoods appreciate being able to communicate in Vietnamese when discussing treatment options. Our entire front desk and clinical team is warm and welcoming to patients of every background. Whether you prefer English or Vietnamese, we'll make sure you fully understand your diagnosis, treatment plan, and costs before any work begins. That level of communication and transparency is something Dr. Tran insists on for every patient at Peninsula Dentistry.
What makes Peninsula Dentistry different from other Huntington Beach dentists?
Dr. Tran has been practicing in Huntington Beach for 20+ years, trained at NYU College of Dentistry, and personally handles everything from routine exams to complex implant cases. Our in-house orthodontist means orthodontic care happens under the same roof as your general dentistry — no referrals, no handoffs. We're also known for taking the time each patient deserves rather than running a high-volume practice. Read more about our team on the our doctors page.

Come See Us —
You're Family Here

Whether it's your first visit or you've been coming for years, Dr. Tran and the team are ready to take care of you. We're right here in Huntington Beach, in the Peninsula Marketplace next to Ralph's.

Consultation Call us today